#Топ новостьКриминалУсть-Кут
Сложную операцию провел знаменитый на весь мир иркутский хирург, главный врач Иркутской областной детской клинической больницы Юрий Козлов.
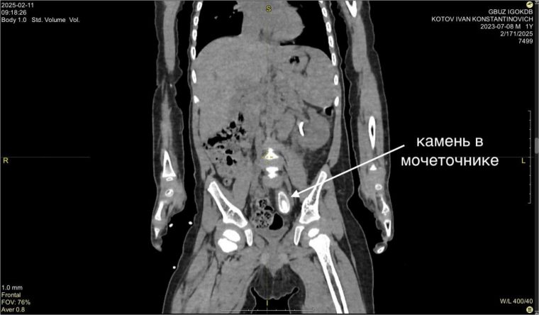
Первые признаки заболевания жительница Усть-Кута обнаружила у сына Вани еще в декабре прошлого года. На обследовании в Иркутске поставили диагноз — большой камень в нижней трети левого мочеточника размером около 3 на 1,5 см и вызванный им блок почки.
Размер камня удивил медиков — это нетипично для таких маленьких пациентов.
— Попытка внутрипросветного лечения была безуспешна — устье мочеточника не пропускало даже самую маленькую оптическую систему цистоскопа. После месяца непростого лечения с использованием нескольких антибиотиков была выполнена операция с применением нашего излюбленного подхода без разрезов — лапароскопии, — рассказывает Юрий Козлов.
Операция прошла успешно, и сегодня Ваня чувствует себя прекрасно.
Администрация УКМО
Данное сообщение (материал) создано и (или) распространено некоммерческими организациями и (или) средствами массовой информации, требующими полной отмены законодательства об иностранных агентах
#Топ новостьКриминалУсть-Кут
#Топ новостьКриминалУсть-КутЭкология
Ариэль Эмет
Специально для «УК24»
фото : "УК24"
Канал в Телеграмм
Наш Инстаграм
Страничка в Одноклассник
#Топ новостьПроисшествияТранспортУсть-Кут
#Топ новостьИсторияКриминалУсть-Кут
Сегодня, 9 марта день памяти у Михаила Проничева «Миша Старый» и его супруги Людмилы
9 марта 1998 года около 5 часов утра неизвестные расстреляли Михаила и Людмилу Проничевых около бара «У Люси» на станции Лена. В тот день в баре много народу отмечало праздник и за вечер произошло несколько конфликтов со стрельбой прямо в помещении и на улице. Криминальные группировки «Небуди» и «Королевские», устраивали потасовки с членами конкурирующих сообществ.
Несмотря на то, что люди выпустили в воздух более двух обойм из пистолетов ПМ и ТТ, полиция не реагировала на стрельбу. Под утро, когда Проничевы собрались уезжать домой, к их машине подошел человек в маске и из автомата расстрелял супругов, не тронув телохранителя.
Оставшийся в живых водитель, выбежал на дорогу и остановил машину скорой помощи, случайно проезжавшую мимо, но было уже поздно. Медики только констатировали смерть двух человек.
Супругов Проничевых похоронили на старом Рэбовском кладбище. Дети Людмилы впоследствии занимались торговлей наркотиками в городе и дочь даже была осуждена за это и есть вероятность, что и сейчас не оставила этот криминальный бизнес. Впрочем, это уже совсем другая история.
Михаил Проничев (Старый), был самым авторитетным представителем криминала на территории. Он задолго до смерти мог стать вором в законе, но из-за пристрастия к тяжелым наркотикам, не стал развивать криминальную карьеру, хотя и пользовался огромным авторитетом в сообществе. Все попытки супруги Людмилы излечить его от этого пагубного пристрастия, закончились неудачей.

Архив сайта "Усть-Кут24" 2022
Вы сможете добавить комментарий после авторизации